Ring Enhancing Lesion On Mri
Enhancing lesions are divided into three main categories. Benign lesions typically will not show this kind of wash out.
Cerebral Ring Enhancing Lesions Radiology Reference Article Radiopaedia Org
Ring enhancing lesion is a radiological sign whereby on the image there is a lesion with area of hypodensity surrounded by a bright rim from contrast.
Ring enhancing lesion on mri. The differential for peripheral or ring enhancing cerebral lesions includes. In the delayed phase we see that the tumor is washed out more than the surrounding liver parenchyma. Multiple cerebral ring enhancing lesions is a commonly encountered dilemma in neuroimaging.
Focusfoci masses and areas of non mass enhancement 1. Now the issue at hand is in small enhancing lesions in a cirrhotic liver whether it is a benign lesion like a regenerating nodule or a hcc. Focus or when multiple foci is an area of enhancement measuring less than 5 mm in diameter which is too small to characterize.
Normally with t1 contrast agents at a usual dosage the enhancing lesions appear hyperintense on mr images and. Magic dr or dr magic dr magic l magical dr mnemonics magic dr or dr magic m. Infarct subacute phase inflammatory ne.
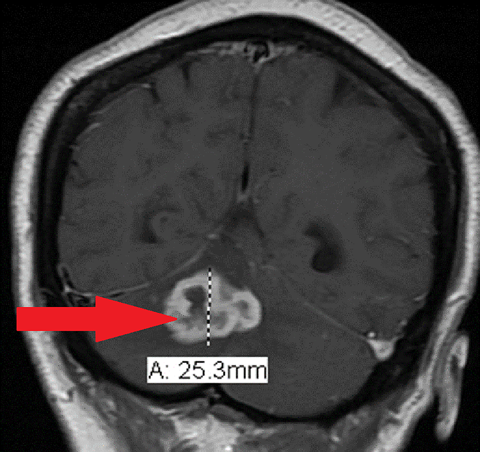
In patients with cerebral mass lesions neuroimages typically show one or more ring enhancing lesions involving both gray and white matter the cerebellum and the brain steam. Is a three dimensional lesion that occupies a space within the breast. Pre contrast t1w mri.
There is a useful mnemonic for differential diagnosis of ring enhancing lesions magical doctor. The term ring enhancing refers to lesions which develop a circular doughnut like rim of enhancement after contrast administration. Cerebral abscess tuberculoma neurocysticercosis metastasis glioblastoma subacute infarcthemorrhagecontusion demyelination incomplete ring tumefactive demyeli.
Only post contrast studies can show ring enhancing lesions. Convenient mnemonics for the causes of cerebral ring enhancing lesions are. M a g i c l dr.
5658 magnetic resonance imaging mri and cranial computed tomography ct reveal single or multiple tumor like lesions with hypodense or hypointense centers with or. The first step is to determine whether the lesion presented on the ct scan is ring enhancing or non enhancing. If it is a ring enhancing lesion the most commonly seen etiologies are cerebral toxoplasmosis 50 primary central nervous system cns lymphoma 30 less commonly bacterial or fungal abscess eg.
A ring enhancing lesion is an abnormal radiologic sign on mri or ct scans obtained using radiocontraston the image there is an area of decreased density see radiodensity surrounded by a bright rim from concentration of the enhancing contrast dyethis enhancement may represent breakdown of the blood brain barrier and the development of an inflammatory capsule. The differences between enhancing and nonenhancing lesions in mri are obvious.
Cerebral Ring Enhancing Lesions Radiology Reference Article Radiopaedia Org
Cerebral Ring Enhancing Lesions Radiology Reference Article Radiopaedia Org
Cerebral Ring Enhancing Lesions Radiology Reference Article Radiopaedia Org
Brain Scans Lord Of The Ring Enhancing Lesions 101 Youtube
Ring Enhancing Brain Lesions In A Patient With Acquired Immunodeficiency Syndrome Aids A Diagnostic Dilemma Bmj Case Reports
Brain Mri With Contrast Showing Multiple Ring Enhancing Lesions And Download Scientific Diagram
Pin On Excalibur Healthcare S Imaging Teleradiology Pins
Mri Brain T1 Axial View Showing Multiple Ring Enhancing Lesions In Download Scientific Diagram
Ring Enhancing Lesion Wikipedia
The Radiology Assistant Systematic Approach
Cerebral Ring Enhancing Lesions Radiology Reference Article Radiopaedia Org
Magic Dr A Handy Mnemonic Used To Remember The Potential Causes
Contrast Enhanced Ct Scan Showing A Large Ring Enhancing Lesion In The Download Scientific Diagram
Fundamental Radiological Findings Ring Enhancing Lesion Stepwards
Brain Mri Notes A Brain Mri Showing Multiple Ring Enhancing Lesions Download Scientific Diagram
Verification Of Brain Ring Enhancing Lesions By Advanced Mr Techniques Sciencedirect
Ring Enhancing Lesion In Hiv Positive Patient
Ring Enhancing Lesion In Hiv Positive Patient
A A Well Defined Thick Ring Enhancing Lesion Was Noted In The Left Download Scientific Diagram
Multiple Ring Enhancing Lesions Of The Brain Garg R K Sinha M K J Postgrad Med
Https Encrypted Tbn0 Gstatic Com Images Q Tbn 3aand9gcrpgu5spn9mq38hlbctcy7w0vvb Re1vgli21pkf Phuhyo Rit Usqp Cau
A Contrast Mri Of Brain Axial View Showing Frontal Ring Enhancing Download Scientific Diagram
Cerebral Ring Enhancing Lesions Radiology Reference Article Radiopaedia Org
Ring Enhancing Lesion On Ct Scan Metastases Or A Brain Abscess Emergency Medicine Journal
Conglomerate Ring Enhancing Lesions Are Common In Solitary Neurocysticercosis And Do Not Always Suggest Neurotuberculosis Garg A Kaur Kp Devaranjan Sebastian Lj Gaikwad Sb Bhatia R Singh Mb Srivastava A Pandey Rm
Ring Enhancing Cerebral Metastasis Image Radiopaedia Org
Ring Enhancing Brain Lesions In A Patient With Acquired Immunodeficiency Syndrome Aids A Diagnostic Dilemma Bmj Case Reports
Multiple Ring Enhancing Lesions Of The Brain Garg R K Sinha M K J Postgrad Med
Ring Enhancing Lesion In Hiv Positive Patient
Multiple Ring Enhancing Lesions In An Immunocompetent Adult Agrawal A Bhake A Sangole V M Singh Br J Global Infect Dis
Brain Mri Of Patient 2 At Presentation Showed An Irregular Download Scientific Diagram
Multiple Ring Enhancing Lesions In Brain Mri Of A Patient With Aids Bmj Case Reports
Brain Mri With Contrast Showing Multiple Ring Enhancing Lesions And Download Scientific Diagram
Emergency Medicine Blog Ring Enhancement Lesions On Ct
Cerebral Ring Enhancing Lesions Radiology Reference Article Radiopaedia Org
Brain Mri With Contrast Showing Multiple Ring Enhancing Lesions And Download Scientific Diagram
Http Pdf Posterng Netkey At Download Index Php Module Get Pdf By Id Poster Id 117672
Open Ring Imaging Sign Neurology
Ring Enhancing Tumefactive Multiple Sclerosis Rcsi Student Medical Journal
Mri Of The Brain Showing A Hyperintense Ring Enhancing Lesion 3 5 Cm Download Scientific Diagram
Question 5 Opportunistic Infections Treatment Question Bank National Hiv Curriculum
Multiple Ring Enhancing Lesions Of The Brain Garg R K Sinha M K J Postgrad Med
Https Encrypted Tbn0 Gstatic Com Images Q Tbn 3aand9gcsima3xhvj6gbc1nzdx6xw4c6x6n Tmcafma66ftfu Usqp Cau
Http Pdf Posterng Netkey At Download Index Php Module Get Pdf By Id Poster Id 117672
Cureus The Importance Of A Complete Differential Case Report Of A Tuberculoma In A Patient Without Pulmonary Involvement
Verification Of Brain Ring Enhancing Lesions By Advanced Mr Techniques Sciencedirect
Conglomerate Ring Enhancing Lesions Are Common In Solitary Neurocysticercosis And Do Not Always Suggest Neurotuberculosis Garg A Kaur Kp Devaranjan Sebastian Lj Gaikwad Sb Bhatia R Singh Mb Srivastava A Pandey Rm
Maternal Mri Showing Small Ring Enhancing Lesions In Both Cerebral And Download Scientific Diagram
Mri In Central Nervous System Infections A Simplified Patterned Approach
Differential Diagnosis Of Ring Enhancing Lesions In Contrast Enhanced Ct And Mri With Histopathological Corelation Indian Study Semantic Scholar
Imaging In Multiple Ring Enhancing Brain Lesions
Conglomerate Ring Enhancing Lesions Are Common In Solitary Neurocysticercosis And Do Not Always Suggest Neurotuberculosis Garg A Kaur Kp Devaranjan Sebastian Lj Gaikwad Sb Bhatia R Singh Mb Srivastava A Pandey Rm
Multiple Ring Enhancing Lesions Of The Brain Garg R K Sinha M K J Postgrad Med
Http Pdf Posterng Netkey At Download Index Php Module Get Pdf By Id Poster Id 117672
Ring Enhancing Pontine Lesion In A Young Boy Bmj Case Reports
Multiple Ring Enhancing Lesions In Brain Neurocysticercosis Or Tuberculoma An Extremely Unusual Uncommon Radiological Presentation Of A Common Disease Central Nervous System Tuberculosis Bjmp Org
Multiple Ring Enhancing Lesions Of The Brain Garg R K Sinha M K J Postgrad Med
Im Board Review Ring Enhancing And Non Enhancing Lesions Usmle Internal Medicine Abim Board Exam Review Blog
Cureus Tumefactive Multiple Sclerosis A Rare Variant Presenting As Multiple Ring Enhancing Lesions In An Immunocompetent Patient A Case Report
Disseminated Spinal Cysticercosis A Rare Intramedullary Ring Enhancing Lesion
Axial Brain Ct Scan With Contrast Shows Multiple Ring Enhancing Lesions Download Scientific Diagram
The Radiology Assistant Diagnosis And Differential Diagnosis
Figure 1 From Cerebral Ring Enhancing Lesion With Diffusion Restriction In A South American Patient Semantic Scholar
Https Encrypted Tbn0 Gstatic Com Images Q Tbn 3aand9gcrgpui1buw89aqwxyx Ne Ruzpd2zk0xcwhcrppraqqjaqmesj1 Usqp Cau
Disseminated Spinal Cysticercosis A Rare Intramedullary Ring Enhancing Lesion
Imaging In Multiple Ring Enhancing Brain Lesions
Cureus The Importance Of A Complete Differential Case Report Of A Tuberculoma In A Patient Without Pulmonary Involvement
Ring Enhancing Lesions Axial T2 Weighted Image Showing A Rim Lesion Download Scientific Diagram
Ring Enhancing Intracranial Lesion Responding To Antituberculous Treatment In An Hiv Infected Patient
Restricted Diffusion Within Ring Enhancement Is Not Pathognomonic For Brain Abscess American Journal Of Neuroradiology
Glioblastoma Multiforme Ring Enhancing Lesion Differential Diagnosis Radiologypics Com
Primary Central Nervous System Lymphoma Presenting As Multiple Space Occupying Lesions In Advanced Human Immunodeficiency Virus Infection
Multiple Ring Enhancing Lesions In Brain Dr Balaji Anvekar Frcr
Iranian Journal Of Radiology Specific Features Of Primary Central Nervous System Lymphoma In Comparison With Glioblastoma On Conventional Mri
Multiple Ring Enhancing Lesions In Brain Neurocysticercosis Or Tuberculoma An Extremely Unusual Uncommon Radiological Presentation Of A Common Disease Central Nervous System Tuberculosis Bjmp Org
Magnetic Resonance Imaging Mri With Numerous Ring Enhancing Lesions Download Scientific Diagram
Http Pdf Posterng Netkey At Download Index Php Module Get Pdf By Id Poster Id 117672
Imaging In Multiple Ring Enhancing Brain Lesions
File Brain Abscess At Mri T1 Contrast Showing A Small Ring Enhancing Lesion With Mild Surrounding Edema Adjacent To The Ventricular Catheter And Ventricular Dilatation Jpg Wikimedia Commons
Primary Central Nervous System Post Transplant Lymphoproliferative Disorders The Spectrum Of Imaging Appearances And Differential Springerlink
Mri Spine Of Case 10 Showing Well Defined Regular Rim Enhancing Lesion Download Scientific Diagram
Concurrent Occurrence Of Both Intracranial And Intramedullary Tuberculomas
Magnetic Resonance Imaging Diagnosis Of Demyelinating Diseases An Update Miki 2019 Clinical And Experimental Neuroimmunology Wiley Online Library
Restricted Diffusion Within Ring Enhancement Is Not Pathognomonic For Brain Abscess American Journal Of Neuroradiology
Imaging Features Of Neurotoxoplasmosis A Multiparametric Approach With Emphasis On Susceptibility Weighted Imaging Sciencedirect
Ring Enhancing Lesion On Ct Scan Metastases Or A Brain Abscess Emergency Medicine Journal
The Solitary Enhancing Cerebral Lesion Can Flair Aid The Differentiation Between Glioma And Metastasis American Journal Of Neuroradiology
Https Encrypted Tbn0 Gstatic Com Images Q Tbn 3aand9gcraffa4whpeiablou02hx2pgpemweprnwi 60z7gnnxz Eba4fx Usqp Cau
Tuberculous Brain Abscesses In Immunocompetent Patients A Decade Long Experience With Nine Patients Mohindra S Savardekar A Gupta R Tripathi M Rane S Neurol India
Cureus Cerebral Abscess Following Mechanical Thrombectomy For Ischemic Stroke Report Of A Case And Review Of Literature
Pontine Tuberculoma In A Known Case Of Tuberculosis Eurorad





