Ring Enhancing Lesion Usmle
I have a couple but im wondering if my list is complete. If you are viewing this on the new reddit layout please take some time and look at our wiki rstep1wiki as it has a lot of valuable information regarding advice and approaches on taking step 1 along with analytical.
Im Board Review Ring Enhancing And Non Enhancing Lesions Usmle Internal Medicine Abim Board Exam Review Blog
I also have the following list but im not sure how accurate this is or how much of it we need to know.
Ring enhancing lesion usmle. These can be challenging because the clinical vignette. Prep4usmle usmle step 1 forum microbiology forum comments on ring enhancing lesions ring enhancing lesions. Apr 26 2008 226 pm 8.
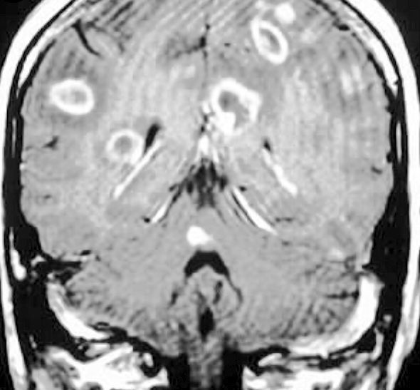
Magic dr or dr magic dr magic l magical dr mnemonics magic dr or dr magic m. March 27 2014 ivan gonzalez a favorite of the usmle steps nbme internal medicine shelf and abim internal medicine board exams seems to be those ring shaped lesions picked up on imaging studies. M1mc1450 a 41 year old male with a history of pneumocystis jiroveci pneumonia is found to have multiple ring enhancing lesions on brain ct.
Which are the pathologies related with ring enhancing lesions in a contrast ct. The differential for peripheral or ring enhancing cerebral lesions includes. A ring enhancing lesion is an abnormal radiologic sign on mri or ct scans obtained using radiocontraston the image there is an area of decreased density see radiodensity surrounded by a bright rim from concentration of the enhancing contrast dyethis enhancement may represent breakdown of the blood brain barrier and the development of an inflammatory capsule.
Convenient mnemonics for the causes of cerebral ring enhancing lesions are. Hello can we list the causes of ring enhancing lesions on a head ct for the usmle. So he is immunosupressedno doubt about thatand i see definitely more than one ring enhancing lesion.
1 toxplasmosis 2 abcesses from some infection can anyone name any causative organisms. Which of the following is most likely responsible for this patients abnormal scan. Tiff forum guru topics.
Infarct subacute phase inflammatory ne. I think its d. Often the scenario is a ring lesion identified on a ct head scan in an immunocompromised patient particularly one with hiv or aids.
How do you differentiate them in the ct scan. Which is their distribution or particular features. Goodgirl was the.
Usmle step 1 is the first national board exam all united states medical students must take before graduating medical school. Cerebral abscess tuberculoma neurocysticercosis metastasis glioblastoma subacute infarcthemorrhagecontusion demyelination incomplete ring tumefactive demyeli. Thank you for your replies.
Ring Enhancing Lesions Usmle Dogjournal
Ring Enhancing Lesions Flow Chart Thanks To U Hussam19 Step1
Fundamental Radiological Findings Ring Enhancing Lesion Stepwards
5 Neurology Pearls For The Im Family Medicine And Pance Board Exams Usmle Internal Medicine Abim Board Exam Review Blog
Usmle To Residency Videos Updates More Radiology Blitz By The Legendary Dr Conrad Fischer
Infectious Disease Usmle Step 2 Ck High Yield Review Flashcards Memorang
Cerebral Ring Enhancing Lesions Mnemonic Radiology Reference Article Radiopaedia Org
Multiple Ring Enhancing Lesions Of The Brain Garg R K Sinha M K J Postgrad Med
Usmle Step 2 Infectious Diseases Flashcards Quizlet
Usmle Q A All Subjects Flashcards Memorang
Hiv Aids Sample Questions Based On Neet Pg Usmle Plab And Fmge Pat
Haney Mallemat On Twitter Fever With Hiv This Chart From The Emdaily Helps Sort Out The Bugs To Consider Based On Cd4 The Post Is Here Https T Co Bgbah32vqt Foamed Foamid Https T Co 06dynpwtf0
Ring Enhancing Brain Lesion Google Search Brain Lesions Whipple S Disease Behcets Disease
Usmle World Step 2 Ck Neurology Hiv Cns Lymphoma Flashcards Memorang
Multiple Ring Enhancing Lesions Of The Brain Garg R K Sinha M K J Postgrad Med
Neurology Brain Lesions Neoplasms
Multiple Ring Enhancing Lesions Of The Brain Garg R K Sinha M K J Postgrad Med
5 Neurology Pearls For The Im Family Medicine And Pance Board Exams Usmle Internal Medicine Abim Board Exam Review Blog
Cpc 38 Year Old Aids Patient With Brain And Pulmonary Lesions Ppt Video Online Download
Hiv Aids Sample Questions Based On Neet Pg Usmle Plab And Fmge Pat
Https Encrypted Tbn0 Gstatic Com Images Q Tbn 3aand9gcsima3xhvj6gbc1nzdx6xw4c6x6n Tmcafma66ftfu Usqp Cau
Infectious Diseases Of Ns Neuro Flashcards Memorang
Ring Enhancement Lesion On Cect Mnemonics
84 Best Brain Images Radiology Neurology Mri Brain
Usmle Comlex Step 1 Protozoa Blood Tissues Non Plasmodia Draw It To Know It
Toxoplasmosis Cns Neurology Medbullets Step 2 3
Usmle Step 2 Infectious Diseases Flashcards Quizlet
Toxoplasmosis Vs Lymphoma Radiology Reference Article Radiopaedia Org
Nbme Cms Forms Notes Stroke Headache
Hydrocephalus Simply Radiology
Infections In Aids Microbiology Medbullets Step 1
Nbme Cms Forms Notes Stroke Headache
Neuro Uworld United States Medical Licensing Examination Step 1 Step 2 With None At Rosalind Franklin University Studyblue
Clinical Review For The Usmle Step 1 By Surgisphere Issuu
Usmle Step 2 Infectious Diseases Flashcards Quizlet
Cpc 38 Year Old Aids Patient With Brain And Pulmonary Lesions Ppt Video Online Download
50 Free Usmle Step 1 Practice Questions
Infectious Disease Archer Usmle Step 3
Medchallenge Instagram Posts Gramho Com
Usmlestepstudy On Twitter Hiv Patient Parasite Ring Enhancing Lesions In Brain Toxoplasmosis Same Patient With Retinitis And No Brain Lesions Cmv Https T Co Vnixoc5jtd
Multiple Ring Enhancing Lesions Of The Brain Garg R K Sinha M K J Postgrad Med
Clinical Reasoning Brain Tumors
Usmle Prep 4 Flashcards Quizlet
Uworld Reset 1 Uworld Flashcards Memorang
Https Encrypted Tbn0 Gstatic Com Images Q Tbn 3aand9gcrkrwy Fvwiougxcjxqyqx Vbmfxadmpfxhf5v0146umneqdb9v Usqp Cau
Brain Abscess Neurology Medbullets Step 2 3
Nbme Cms Forms Notes Stroke Headache
Pathology Glossary Acute Disseminated Encephalomyelitis Adem Draw It To Know It
Neurocysticercosis Brain Ct Calcified With Cerebral Edema Youtube
Ring Enhancing Lesion Wikipedia
Neurology Brain Lesions Neoplasms
Eli5 Enhancing Vs Non Enhancing Lesions Medicalschool
Usmle Review Supplement For First Aid Page 1 Pathology
First Aid Q Amp A For The Usmle Step 2 Ck Pdf Free Download
Pdf First Aid Usmle Step 2 Ck Ale Rmz Academia Edu
Hiv And Cns Opportunistic Infections In Hiv Youtube
Neurology Nbme 5 Flashcards Quizlet
Mbbs Medicine Humanity First Ct Scan Of Head
Http Mediconotes Com Freenotes Usmle Pediatrics Usmle Notes Free 20trial 2 Pdf
Parasites Malaria Toxoplasmosis And Other Protozoa Stomp On Step1
Infectious Disease Archer Usmle Step 3
The Radiology Assistant Roadmap To Evaluate Ovarian Cysts
Nbme Cms Forms Notes Stroke Headache
Http Med Mu Com Wp Content Uploads 2018 08 First Aid For The Usmle Step 3 Mcgraw Hill 2015 Pdf
Multiple Ring Enhancing Lesions Of The Brain Garg R K Sinha M K J Postgrad Med
Hydrocephalus Simply Radiology
Https Encrypted Tbn0 Gstatic Com Images Q Tbn 3aand9gcrpurefgf5dmvmttgg2uz1gx Llq Ftoxtw7gx2ahz0lzzfkn9s Usqp Cau
First Aid For The Usmle Step 2 Ck 10th Ed
Http Mediconotes Com Freenotes Usmle Dermatology Usmle Notes Free 20trial Pdf
Uworld Reset 1 Uworld Flashcards Memorang
Basic Microbiology Viruses Usmle Step 1 With Nbme At Stanford School Of Medicine Studyblue
Usmlepreparation Stories Highlights Photos And Videos Hashtag On Instagram Pictame 2
Http Med Mu Com Wp Content Uploads 2018 08 Step Up To Usmle Step 2 Ck 4e Pdf
Neurology Brain Lesions Neoplasms
Comlex Usmle Board Review Lectures Brain Abscess And Viral Encephalitis Youtube
Uworld Notes April 29 2016 Usmle Grassroots Angina Pectoris Heart Failure
Usmle Step 2 Ck 2019 Clinical Knowledge Textbooks On Carousell
Toxoplasmosis Cns Neurology Medbullets Step 2 3
Pdf Usmle Road Map Neuroscience Alvaro R Salvatierra Academia Edu
Https Www Usmle Org Pdfs Bulletin 2020bulletin Pdf
Nbme 19 Nbme 19 Flashcards Memorang
Theradiologistpage Instagram Profile With Posts And Stories Picuki Com
Cerebral Ring Enhancing Lesions Radiology Reference Article Radiopaedia Org
Term Ring Enhancing Brain Lesion In An Hiv Patient Definition Toxoplasma Gondii Course Hero
Frcr2b Stories Highlights Photos And Videos Hashtag On Instagram Pictame 2
Hydrocephalus Simply Radiology
Https Firstaidteam Com Wp Content Uploads 2019 01 Fas1 2019 Index Revised January2019 Pdf
Active Learning For The Medical Sciences Draw It To Know It
Usmle Step 2 Infectious Diseases Flashcards Quizlet
Usmle Platinum Notes Step 1 Second Edition Eljqoj56ww41
Https Encrypted Tbn0 Gstatic Com Images Q Tbn 3aand9gcs0e3 Ktxhc4wehci3attvw5xq7yzvtyicjkp1pxpdcaclk0q1t Usqp Cau
50 Free Usmle Step 1 Practice Questions
Http Www Cajasfuertesdeoccidente Com Img 2 Donwloads Img 2beckers Usmle Step1 Lecture Notes Behavioral Science Epidemiology Biostatistics Pdf
Quizlet Com Usmle Step I Comprehensive Review Acetylcholine Alcoholism
5 Neurology Pearls For The Im Family Medicine And Pance Board Exams Usmle Internal Medicine Abim Board Exam Review Blog







